
Gabinet Pulmonologiczny

O mnie
Jestem absolwentem Śląskiego Uniwersytetu Medycznego w Katowicach. Jako lekarz doświadczenie zdobywałem pracując w oddziale chorób wewnętrznych, gdzie otrzymałem tytuł specjalisty w chorobach wewnętrznych ( 2006 r) pod kierownictwem Pana Dr Włodzimierza Pokrzywnickiego.
Następnie skierowałem swoje zainteresowania w kierunku pulmonologii – egzamin specjalizacyjny zdałem w 2012 roku pod kierownictwem Pana Profesora Dariusza Ziory w Klinice Chorób Płuc w Zabrzu, gdzie później pracowałem pogłębiając wiedze i doświadczenie szczególnie w diagnostyce i leczeniu chorób śródmiąższowych, co jest moim szczególnym zainteresowaniem.
Aktualnie kieruję dużym blisko 70 łóżkowym oddziałem chorób płuc i gruźlicy w pilchowickim Szpitalu Chorób Płuc. Zajmuję się endoskopową ( bronchoskopia, EBUS) diagnostyka chorób płuc, w tym nowotworowych. Diagnostyką śródmiąższowego włóknienia płuc i kwalifikacją do leczenia w ramach programu lekowego – IPF w naszym oddziale. Od ponad 15 lat prowadzę poradnie domowego leczenia tlenem stąd zajmuję się oceną i kwalifikacja chorych do leczenia tlenem w domu.
Jestem członkiem Polskiego Towarzystwa Chorób Płuc oraz ERS (europejski odpowiednik) . Regularnie biorę udział z szkoleniach i zjazdach naukowych. Kieruję procesem specjalizacyjnym przyszłych pulmonologów.

Specjalistyczne konsultacje specjalistyczne
w zakresie chorób płuc
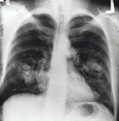
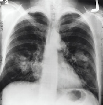
Choroby płuc
Diagnoza i leczenie astmy, POChP, przewlekłego kaszlu i infekcji
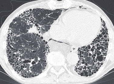
Choroby śródmiąższowe
Opieka nad pacjentami z włóknieniem płuc i sarkoidozą



O nas z pasją
Specjalistyczna Praktyka Lekarska Piotr Sitek – troska o zdrowie Twoich płuc i komfort życia każdego dnia.
150+
15
Zaufanie pacjentów
Opinie

Lokalizacja
Gabinet znajduje się w centrum miasta, łatwo dostępny komunikacją miejską i z parkingiem w strefie A Starego Miasta w Gliwicach
Adres
ul. Górnych Wałów 22 , 44-100 Gliwice
Godziny
Rejestracja czynna :Pn-Pt 15-20
Kontakt
Skontaktuj się, aby umówić wizytę i zadbać o zdrowie swoich płuc.